「歯科」と「副鼻腔炎」との関係とは?

副鼻腔炎の原因には、歯科に起因するものがある!?
風邪を引くと副鼻腔炎になってしまうことがあります。副鼻腔炎になりがち…という人もいらっしゃるのではないでしょうか。副鼻腔炎の原因としては、風邪のウィルスが副鼻腔の粘膜に入り込んでしまい、発症するという印象ですが、歯科における原因によっても起こりうるようです。その原因や治療法はどんなものなのでしょうか。
副鼻腔炎
副鼻腔炎は、副鼻腔の粘膜に影響を与える副鼻腔内の炎症反応です。この炎症反応は、ウイルス、細菌、真菌の感染によって引き起こされるほか、アレルゲン、医原性異物、デンタルインプラントのずれ、歯根の感染によっても引き起こされることがあります。炎症が起こると、副鼻腔の粘膜が厚くなり、鼻と上顎洞の間の開口部の通気が妨げられることがあります。その結果、排液が減少し、副鼻腔内で病原菌が増殖するリスクが高まります。
副鼻腔炎を示唆する臨床的および病歴上の兆候
- 上顎洞の領域における痛みおよび圧痛
- 顔面の重苦しさ、鼻づまりまたは副鼻腔の閉塞感
- 患者が座った状態で頭を前に曲げたり、膝の間に入れたりすると症状が悪化する
- 発熱
- 頭痛
- 悪臭/味覚異常
- 鼻から喉の奥に向かって悪臭や色のついた分泌物や粘液が流れ出る
歯科に起因する副鼻腔炎
歯科医師は、急性または慢性の副鼻腔炎について、歯科的な原因があるかどうかを調べるよう依頼されることがよくあります。明らかな歯の感染症や原因歯のある側(片側)の上顎洞炎の場合、一般歯科医師は、臨床検査、X線撮影、口腔内画像、OPGに基づいて、歯性副鼻腔炎を診断することができます。しかし、口腔内画像診断しか利用できない場合、診断は複雑になり、経験豊富な臨床医でも発見が困難になることがあります。発見が比較的難しい疾患としては、副鼻腔に拡がる嚢胞や良性腫瘍、あるいは歯を介して発生する二次感染などがあります。上顎第三大臼歯の埋伏が疑われる場合は、徹底的なX線検査が不可欠です。根分岐部における歯周ポケットの形成は、副鼻腔にまで広がり、長期にわたる副鼻腔炎を引き起こす可能性があります。そのため、一般歯科医が誤って患者の歯を抜歯してしまうことも珍しくありません。治療担当医師が疑わしい状態と判断した場合は、口腔顎顔面外科のクリニックへの紹介、または CBCTによるさらなる検査が推奨されます。

原因
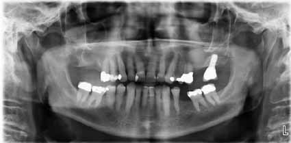
上顎小臼歯と大臼歯の歯根は副鼻腔底に近くにあり、根尖性歯周炎では骨の境界が緩み、細菌が上顎腔に侵入して副鼻腔炎を引き起こす可能性があります。抜歯、顎外科手術、インプラント埋入では、口腔と上顎洞の間に急性的な交通路が残ることがあります。その結果、いわゆる口腔前庭部に口腔上顎洞瘻を形成し、そこから膿が排出され、それが副鼻腔への微生物の侵入点となり、細菌の定着や感染につながる可能性があります(画像2a、2b)。


病因
副鼻腔炎の微生物叢は口腔内の微生物叢と類似しており、嫌気性菌がわずかに優勢です。上顎洞の洗浄中に発生する嫌気性臭は、耳鼻咽喉科医にとって典型的なものであり、多くの場合、歯科的な原因を示すものとみなされます。歯が原因の副鼻腔炎である歯性上顎洞炎は通常、多菌性であり、主に口腔内細菌で構成されていますが、呼吸器系の要素も含まれています。嫌気性菌には、ペプトストレプトコッカス属およびプレボテラ属で構成されています。黄色ブドウ球菌黄色ブドウ球菌(Staphylococcus aureus)や肺炎球菌(Streptococcus pneumoniae)などの好気性菌も存在します。メチシリン耐性黄色ブドウ球菌(MRSA)の発生は、患者の10~12%で報告されています。
検査と診断
徹底的な病歴聴取に加え、歯性上顎洞炎の検査では以下の項目を含める必要があります。
- 口腔内X線撮影、続いて高品質の根尖X線撮影およびOPG撮影。診断が困難な場合や病変が疑われる場合は、必要に応じてCBCTも実施。
- 電気および冷感に対する知覚検査を含む歯科検査。
- 歯周の状態。根分岐部のポケットは副鼻腔にまで達している可能性があることに注意する。
- 小さな瘻孔(例えば、以前の抜歯部位)を発見するには、粘膜検査およびポケットプローブによる探査が必要になる場合がある。
- 瘻孔または交通の兆候として起こる気泡を発見するために、血管内検査が実施される。
文献によると、上顎洞炎の10~12%は歯が原因であると言われていますが、症例の最大50%は歯原性である可能性があると推測されています。したがって、慢性の片側性慢性副鼻腔炎の場合は、慎重な歯科検査が必要です。ただし、決定的な処置を行うには、明確な病状と因果関係が必要です。
歯が原因の副鼻腔炎である歯性上顎洞炎と通常の副鼻腔炎の区別
検査は、既往歴、臨床データ、および放射線所見の組み合わせに基づいて行う必要があります。
歯の問題によって引き起こされた副鼻腔炎を示唆する病歴上の側面には、以下のようなものがあります。
- 片側性の症状
- 悪臭/味覚異常(歯周病菌による)
- 当初は抗生物質治療が有効であったものの、症状が再発(根本的な原因が解消されていない)
- 以前、上顎の歯痛が副鼻腔炎につながった
- 問題のある上顎洞に向かって伸びた歯根を持つ、状態の悪い歯(通常、上顎の4a歯および臼歯)
- 副鼻腔炎が発生している上顎小臼歯または大臼歯の領域で、最近抜歯した歯
歯科的要因のない副鼻腔炎を示す兆候のある病歴:
- 風邪、耳の感染症、上気道感染症の病歴
- 両側性副鼻腔炎の症状
- 歯性上顎洞炎に典型的な症状が見られない
歯の問題によって引き起こされる副鼻腔炎を示唆する臨床的側面には、以下のものがあります。
- 副鼻腔炎が確認された上顎小臼歯/大臼歯領域に、歯根尖感染および歯周感染の兆候が見られる歯の状態
- 上顎洞に向かって広がる深い歯周ポケット
- この領域における過去の歯痛または歯科治療歴
- 副鼻腔炎が認められる小臼歯/大臼歯領域において、抜歯後の歯槽堤に瘻孔または治癒していない領域がある
- 歯髄壊死の兆候が見られる領域の歯に対する知覚検査で陰性反応が出た場合
- 明らかな閉塞はなく、副鼻腔に通じる空洞が存在する可能性がある
- 上顎洞洗浄により悪臭のある分泌物が出る場合
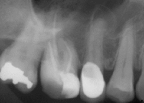
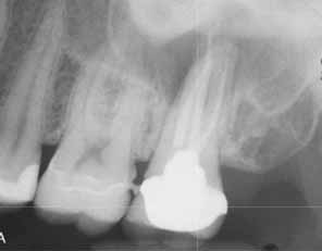
歯に起因する副鼻腔炎の放射線学的兆候には、以下のものがあります。
- 上顎洞に向かって位置する瘻孔を示す造影画像
- 小臼歯/大臼歯領域の歯根尖/歯周領域における放射線透過性(画像3a、画像3b)
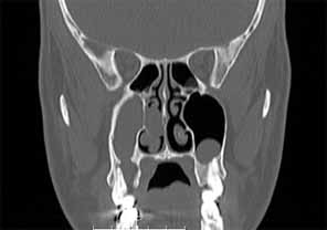
- 歯根尖/歯周領域における放射線透過性を示すCTスキャン(画像3c)



治療
慢性副鼻腔炎の治療には、歯の感染の除去が含まれます。これには、歯内療法、歯周治療、または外科的な処置による抜歯が必要になる場合があります。感染の予防が困難な場合は、抜歯が必要になる場合があります。その後、副鼻腔の交通を特定するために、Vamevalテストを実施する必要があります。患者との良好なコミュニケーションが極めて重要であり、治癒を確実にするためには、より根本的な治療が必要になる場合が多いです。急性副鼻腔炎の場合は治療が必要です。PC予防と、ネザリルなどの充血除去薬を組み合わせた、1回限りの手術が行われる。より大きな交通や瘻孔が慢性化している場合は、鼻の矯正手術(画像4a~4e)が必要となります。場合によっては、耳鼻咽喉科医によるFESS手術と同時に行うこともできます。FESS手術では、鼻の側壁にある開口部を外科的に広げて換気を確保し、閉塞を防止します。





副鼻腔炎の治療:
歯が原因となって菌の活動が活発になっていると思われる副鼻腔炎(保健センター/耳鼻咽喉科クリニックでのCT検査によって確認されたものなど)の場合、抜歯前に綿密な治療計画を立てる必要があります。抜歯後の副鼻腔閉鎖時に、副鼻腔内にまだ膿性浸出物が残っており、活動性の感染症がある場合には、交通路の形成が優れた技術的品質で実施されたとしても治癒の条件は悪くなります。副鼻腔閉鎖時には、感染を軽減し、副鼻腔から膿性浸出物を除去する必要があります。これは、抜歯3日前に抗生物質治療を開始することで達成できます。抜歯中は、患者が座った状態で鼻/口から透明な液体だけが出てくるまで、生理食塩水で副鼻腔を洗浄します。
その後、高品質の副鼻腔手術を行うことができ、口腔上顎洞瘻が生じることなく、治癒するための条件が改善されています。
全身に及ぼす重大な影響や感染拡大のリスクがあるためにペニシリンを処方する必要がある場合は、以下のように処方されます。
予後
予後は比較的良好ですが、感染が治まった後も鼻づまりなどの症状が長期間続く場合があります。副鼻腔の環境と解剖学的構造が影響を受ける可能性があり、回復に時間がかかる可能性があります。口腔内の閉鎖が完全に達成され、持続的な上顎洞口腔瘻の兆候が見られない限り、さらなる検査と治療のために耳鼻咽喉科専門医への紹介を検討する必要があります。
参考文献
Shahbazian M1、Vandewoude C、Wyatt J、Jacobs R. 上顎後部の放射線診断における根尖撮影と CBCT 画像の比較評価。歯科。 2015年1月;103(1):97-104.出典:10.1007/s10266-013-0144-z. 2013年12月28日電子出版。
Taschieri S、Torretta S、Corbella S、Del Fabbro M、Francetti L、Lolato A、Capaccio P. 歯原性副鼻腔炎の病態生理学。ジャーナルオブインベスティゲティブアンドクリニカルデンティストリー(2015)、0、1–7。
Hupp JR、Ellis E III、Tucker MR。現代の口腔および顎顔面外科。第7版(2018年)。エルゼビア。 382-393ページ。
Bjørnland T、Rasmusson L、Nørholt SE、Sándor GK。北欧口腔顎顔面外科教科書(2021年)。ムンクスガード デンマーク。
本記事は、興学会と日本スウェーデン歯科学会の活動の一環として歯科先進国と言われているスウェーデンの先進歯科医療に関する論文等を翻訳しご紹介するものです。記事内に掲載の各機関は指定のない限り、スウェーデン国内の機関を示します。また、記事の内容には、一部誤訳等を含む場合があるほか、研究・臨床段階の内容も含まれており、実際に治療提供されているとは限りませんので予めご了承ください。

















































