上下の歯が横にずれる「交叉咬合」。「片側性交叉咬合」とはどんな状態?

噛み合わせだけでなく、顔の歪みも。子どもの頃からの適切な対応が重要!
交叉咬合(クロスバイト)とは、上下の歯が横にずれて噛み合わせが正しくない状態を指します。この中でも、今回の「片側性交叉咬合」は、どちらか一方の奥歯で噛み合わせのバランスが崩れてしまう状態です。この状態を放置してしまうと、噛み合わせによる影響だけでなく、顎の発達への影響や顎関節症などになってしまうことも。
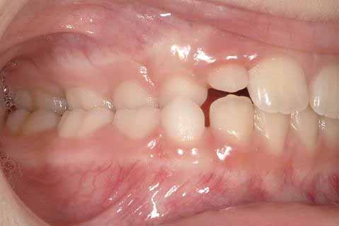
片側性交叉咬合は、10%以上の有病率で、交叉咬合の中で最もよく見られる不正咬合のひとつです。片側性交叉咬合とは、上顎と下顎を噛み合わせた時に、上顎と下顎の幅が一致しないことを意味します(画像1)。これは、咬合時に下顎が横方向にずれること(いわゆる反対咬合)を意味し、片側性交叉咬合と正中線からのずれを引き起こします。
科学文献では、強制的な動きを伴う交叉咬合が重大な臨床的問題を引き起こす可能性があり、治療を怠ると顎の成長や顔面の対称性に悪影響を及ぼし、不正咬合や顎関節症を引き起こす可能性があります。

原因
片側性交叉咬合の原因としては、例えば、乳児期の吸啜習慣(おしゃぶり、指しゃぶり)や、鼻腔が狭いことによる口呼吸などが挙げられます。通常、舌は顎に一定の圧力をかけ、上顎と下顎のバランスを保っています。指しゃぶり、おしゃぶりの使用、口呼吸は、舌が下顎にのみ圧力をかけることになり、このバランスを崩します。これは、上顎が横方向に短くなり、歯を噛み合わせた時に不正咬合になることを意味します。
治療
適切な歯科治療とは、長期的な安定性と費用対効果のある効果的な治療方法を採用することを意味します。そのため、ここでは交互咬合における片側性交叉咬合の矯正治療の有効性、長期的な安定性、費用対効果を証明する、可能な限り最高の科学的証拠に基づく研究のみが参照されます。
乳歯列期の交叉咬合の治療には、持続的な吸啜習慣がある場合には、その習慣を子供から取り除くよう努力すべきであることを親に説明することが含まれます。次に、強制的な動きを引き起こす障害を取り除く努力が行われます。
研究により、これは良い結果をもたらすことがわかっています。この治療は複雑ではなく、費用もそれほどかかりません。
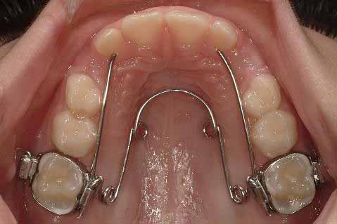
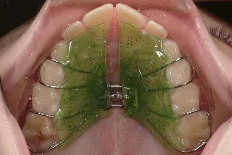
混合歯列期または後期の乳歯列期における片側性交叉咬合の治療は、通常、クワドヘリックス(画像2)または拡張床(画像3)を用いて行われます。


スウェーデン医療技術評価協議会(SBU)が定義したエビデンスレベルに基づき、現在の科学的知見から次のように結論付けることができます。
- クワドヘリックスは、拡張床よりも優れた、非常に効果的な治療法です。
- クワドヘリックスまたは拡張床のいずれかを使用した交叉咬合治療が成功すれば、同等の長期安定性が期待でき、予後は非常に良好です。
費用対効果に関しては、クワドヘリックスによる治療と拡大床による治療の直接および間接的な費用を比較した研究は1件のみであり、以下の結論が導き出されています。
- クワドヘリックスは、拡大床よりも費用対効果に優れています。
- クワドヘリックスは、直接および間接的な費用が少なく、治療のやり直しを必要とする治療ミスも少ないです。
治療手順
クワドヘリックス
- 必要に応じて、16番と26番の歯に近心方向および遠心方向に分離用結紮糸を装着します。分離効果が現れるまで4~7日間待ちます。
- 矯正用のバンドは、16番と26番の歯に装着されます。これは、バンドが装着された上顎のアルジネート印象です。患者が帰宅する前に新しい分離結紮糸を装着します。バンド付きの印象は歯科技工士に送られます。
- 約1週間後、分離用結紮糸が除去され、装置がセメントで固定されます。オプションの取り外し可能なクワドヘリックスでは、装置を取り付ける前に、クワドヘリックスアーチ自体を臼歯バンドの口蓋側のチューブに結紮します。その後、装置が臼歯と犬歯の領域で臼歯1本分の幅だけ拡張される、活性化が行われます。
- 6週間ごとに、装置の検査と再活性化のためのフォローアップ検査を受けることが推奨されます。クワドヘリックスによる治療期間は、約6ヶ月と推定されます。その後、同じ期間、咬合を維持する必要があります(リテンションとして、アーチは受動的にその位置に留まります)。
拡張床
- 上顎のアルジネート印象。そして、ダブルアダムスクラスプやスクリュー(拡大専用のネジ)などの設計要求が歯科技工要求書に記載されます。
- 技術者が装置を作製すると、拡張床は、詳細な使用説明書(24 時間)および拡張方法の説明書(患者は週に 1 回、拡張レンチで穴を締める必要があります)とともに、患者とその保護者に渡されます。24 時間連続使用の場合、患者は週に 2 回ネジを締めることができます。拡張床を取り外す際には、アダムスクラスプがロックされていないことを確認することが重要です。乳歯4番にアダムスクラスプを取り付けた場合、過蓋咬合を防ぐために、下顎の乳臼歯を咬合方向にわずかに削る必要がある場合が多くあります。
- 拡張床は患者の協力が必要な装置であるため、予後は予測が難しいです。患者の協力が良好であれば、1年以内に交叉咬合は解消されるはずです。既存の装置を使用することで、6か月間、夜間の咬合が維持されます。
国家ガイドライン 2021
推奨スケールに応じた優先度5
症状:咬合が不安定な状態を伴う交叉咬合(片側性または両側性)、思春期前の子供
処置:矯正装置による治療
参考文献
Andrade Ada S、Gameiro GH、Derossi M、Gaviao MB。後方交叉咬合と機能的変化。体系的なレビュー。アングルオルソド2009;79:380-386.
Bjerklin K. 拡張プレートまたはクワドヘリックス装置で治療した片側後方交差咬合患者の追跡管理。ジャーナル・オブ・オロファック・オルソップ2000;61:112-124.
ドラモンド M. 医療プログラムの経済評価の方法。第3版。オックスフォード:オックスフォード大学出版局、2005年。
Larsson E、Bishara S. 口腔習慣が歯列発達とその治療に与える影響:臨床的および歴史的観点。第2版。オスロ。 2003年。
Lindner A. 片側交叉咬合の 4 歳児に対する早期予防治療の効果に関する縦断的研究。スキャンダルJデントリサーチ1989;97:432-438.
Petrén S. 混合歯列における片側後方交叉咬合の矯正。有効性、安定性、費用対効果の研究。 (論文)。スウェッド・デント J 補足。 2011;(212):11-83.
Petrén S、Söderfeldt B、Bondemark L. 片側後方交叉咬合の早期矯正治療に関する系統的レビュー。アングルオルソド2003;73:588-96.
Petrén S、Bondemark L. 混合歯列における片側後方交叉咬合の矯正:ランダム化比較試験。 Am J Orthod Dentofacial Orthop 2008;133:790.e7-13.
Petrén S、Bjerklin K、Bondemark L. 混合歯列における片側後方交叉咬合矯正の安定性 – 3 年間の追跡調査による RCT 研究。 Am J Orthod Dentofacial Orthop 2011;139:e73-e81.
Petrén S、Bjerklin K、Marké L-Å、Bondemark L. 後方交叉咬合の早期治療 – コスト最小化に関する RCT 研究。 Eur J Orthod 2011;doi:10.1093/ejo/crj047.
交叉咬合に関するコクラン共同体の系統的レビューに関する SBU 要約と解説。https://www.sbu.se/2022_10
スウェーデン医療技術評価評議会 (SBU)
Sollenius O、Petrén S、Bondemark L. 専門歯科および一般歯科における機能シフトによる片側後方交叉咬合の矯正の臨床的有効性とコスト分析に関する RCT。ヨーロッパ正統派ジャーナル。 2019年4月11日 pii: cjz014.出典:10.1093/ejo/cjz014.
本記事は、興学会と日本スウェーデン歯科学会の活動の一環として歯科先進国と言われているスウェーデンの先進歯科医療に関する論文等を翻訳しご紹介するものです。記事内に掲載の各機関は指定のない限り、スウェーデン国内の機関を示します。また、記事の内容には、一部誤訳等を含む場合があるほか、研究・臨床段階の内容も含まれており、実際に治療提供されているとは限りませんので予めご了承ください。

















































