歯並びは自然に治る?3歳から7歳までの不正咬合の変化について

原因は?綺麗な歯並びを維持するために気を付けることとは
子どもの頃から歯並びに悩んだり、大人になってから気になって歯列矯正を始めるなど、近年では矯正治療もより身近に、治療を始めやすくなっているため、治療経験のある人も増えていると思います。もちろん、治療をせずに子どもの頃から綺麗な歯並びを維持できることに越したことはありませんが、歯が生え始める時期から、親が気を付けられることはあるのでしょうか。
3歳になると、ほとんどの子供たちは乳歯が生えそろいます。咬合の発達は、特に乳歯から永久歯への移行期において、子供の顎の成長と並行して進みます。6歳または7歳まで乳歯のみで構成される歯列を「乳歯列期」と呼びます。移行期は、子供の6歳臼歯が生え始める時に始まります。この移行期は、多くの場合7歳から12歳まで続きます。12歳頃になると、子供たちは通常、永久歯だけで咀嚼するようになります。この期間内の年齢は個人によって大きく異なり、特に移行期には数年の差があることも珍しくありません。咬合の発達は、主に両親からの遺伝によって決定されますが、呼吸パターンや吸啜習慣などの環境要因も影響します。
約80%の子供たちは、出生から3歳までに吸啜習慣を持っています。最も一般的な吸啜習慣は、おしゃぶりの使用ですが、親指や指を吸う習慣も見られます。吸啜習慣は、さまざまな不正咬合の発達と密接に関連しています。最近発表された系統的な文献レビューによると、おしゃぶりの選択は咬合の発達に大きな影響を与える可能性があることが示唆されています。現在入手可能な知見によると、解剖学的形状のおしゃぶりは、従来のおしゃぶりよりも前歯部の開咬や交叉咬合を引き起こす頻度が低いことが示唆されています。乳歯咬合完成期(乳歯列期)で最もよく見られる不正咬合は、前歯部の開咬(オープンバイト)、交叉咬合(クロスバイト)、および著しい過蓋咬合(ディープバイト)(4mm以上)です。これらの不正咬合は、3歳という早い年齢で観察され、永久歯が生えるまで続く場合があります。
不正咬合の発達を調査する方法のひとつは、子供たちのグループの成長を観察し、咬合の発達の初期段階で何が起こっているのかを確認することです。3歳から7歳までの386人の子供たちを調査したスウェーデンの研究によると、乳歯列期に吸啜習慣がなくなると、ほとんどすべての種類の不正咬合が自然に消失することが明らかになりました。また、この研究では、この期間にほぼ同数の新しい不正咬合が発生することも明らかになりました。
3~7歳の間に不正咬合が発生する
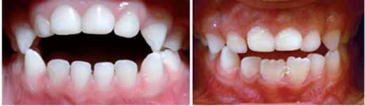
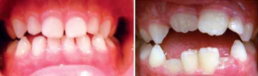
前歯部に頻繁に発生するオープンバイトは、吸啜習慣がなくなると自然に消失します(画像1)。患者が口呼吸などの他の環境要因の影響を受けている場合、同じ期間に咬合が悪化することがあります(画像2)。


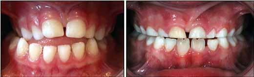
交叉咬合の大部分は、この期間中に自然に治る可能性がありますが、その前提条件は、吸啜習慣がなくなることであると考えられます (画像3)。

治療
一般的に、就学前の年齢の不正咬合は、通常、治療を必要としないことが推奨されています。子供が臼歯が生える年齢になるか、すべての永久歯が生え揃うまで待つことができます。上記の不正咬合は、乳歯列期に最もよく見られ、以下の治療が必要です。
前歯部の開咬(オープンバイト)
吸う癖のある子供の多くは前歯が影響を受け、それが前歯部に開咬を引き起こしています。3歳を過ぎても吸う癖が続く場合は、その癖を止めるよう親にアドバイスするのが適切です。3歳になると、前歯の永久歯が生えることで、開咬は自然に解消される可能性が非常に高いためです。
交叉咬合(クロスバイト)(片側性または両側性)
交叉咬合は、子供が吸啜習慣を持っているか、または過去に吸啜習慣があったことと強く関連しています。強制的な交叉咬合の場合は、顎や顔の非対称や不安定な咬合を防ぐために、早期の治療が必要です。比較的簡単な対策としては、強制的な動きの原因となる問題のある表面を研磨することですが、この研磨の成功率は不確かです。また、縦断的研究によると、7歳までに38%の交叉咬合は自然に矯正されるという結果が出ています。乳歯列期に交叉咬合を治療する必要があるという証拠はありません。したがって、6歳臼歯が生えるまで待って、交叉咬合があるかどうかを判断することが推奨されます。その時点で初めて交叉咬合の治療が可能になり、適切な治療法としては、クワドヘリックス、急速拡大装置、マルチブラケット装置など、いくつかの拡張装置を使用する方法があります。
著しい過蓋咬合
オーバーバイト(歯の咬み合わせの深さの値)が4mmを超えると、拡張しているとみなされますが、オーバーバイトが6mmを超える場合にのみ、患者の唇を閉じる能力に影響を及ぼします。著しい過蓋咬合の治療では、主な原因は外傷のリスク増加による唇の閉鎖不全ですが、患者が過蓋咬合を軽減したい心理社会的理由がある場合もあります。ただし、治療は乳歯列期には開始すべきではなく、最も適切な時期は、患者が8~9歳の混合歯列期です。
結論
乳歯列期に矯正治療が必要となることは極めて稀です。ただし、永久歯が生えてくる前に親が子供の吸啜習慣をやめるように促し、吸啜習慣に関連する不正咬合を自分で矯正できるようにすることが推奨されます。
参考文献
利益WR。歯列矯正の問題の原因。 In: Proffit WR、Fields HW、Sarver D、編集者。現代の矯正歯科。第5版。聖。ルイ、ミズーリ州:エルゼビア/モスビー; 2013年、114-46頁。
Johannsdottir B、Thorarinsson F、Thordarson A、Magnusson TE。側方頭部X線規格写真から推定した親と子の間の頭蓋顔面特徴の遺伝率。 Am J Orthod Dentofacial Orthop 2005;127(2):200-7;クイズ60-1。
モッシー、PA。不正咬合の遺伝性:パート 2。不正咬合における遺伝の影響。 BrJオルト1999;26(3):195-203.
Dimberg L、Bondemark L、Soderfeldt B、Lennartsson B. 3 歳児における不正咬合の特徴と吸啜習慣の有病率。スウェッドデントジャーナル2010;34(1):35-42.
Dimberg L、Lennartsson B、Soderfeldt B、Bondemark L. 3 歳および 7 歳の小児における不正咬合: 縦断的研究。ヨーロッパ矯正ジャーナル2013; 35(1):131–37.
Lindner A、Henrikson CO、Odenrick L、Modéer T. 未就学児の片側交叉咬合の上顎拡大。スキャンドJデントRes. 1986年10月;94(5):411-8.
Kurol J、Berglund L. 乳歯列における後方交差咬合の早期治療の効果に関する縦断的研究および費用便益分析。ヨーロッパ正統派ジャーナル。 1992年6月;14(3):173-9.
Khda M、Kiliaridis S、Antonarakis GS。乳歯列から混合歯列までの臼歯部交叉咬合の自然治癒と新たな発達。ヨーロッパ正統派ジャーナル。 2022年10月7日:cjac061
Petrén S、Bondemark L. 混合歯列における片側後方交叉咬合の矯正:ランダム化比較試験。 Am J Orthod 歯科顔面矯正学。 2008年6月;133(6):790.e7-13.
Dimberg L. 不正咬合と生活の質。小児における横断的研究および縦断的研究。スウェッド・デント J 補足。 2015;(237):1-88, 10
Schmid KM、Kugler R、Nalabothu P、Bosch C、Verna C. おしゃぶりの吸引が口腔顔面構造に与える影響:系統的レビュー。プログレ正統派。 2018年3月; 19(1):8
Dogramaci EJ、Rossi Fedele C. 非栄養性の吸啜行動と不正咬合との関連性の確立。体系的なレビューとメタ分析。 J Am Dent Assoc. 2016年12月; 147(12):926-934.
本記事は、興学会と日本スウェーデン歯科学会の活動の一環として歯科先進国と言われているスウェーデンの先進歯科医療に関する論文等を翻訳しご紹介するものです。記事内に掲載の各機関は指定のない限り、スウェーデン国内の機関を示します。また、記事の内容には、一部誤訳等を含む場合があるほか、研究・臨床段階の内容も含まれており、実際に治療提供されているとは限りませんので予めご了承ください。

















































