歯科X線写真における解剖学的構造の重要性

解剖学的構造を正確に理解し、歯周組織の異常を診断する
歯科X線の使用は、歯科治療において非常に重要な情報源となります。しかし、正常な解剖学的構造を理解しておかなければ、誤診につながりかねないため、この知識がより重要になります。
人体の解剖学とそれがX線画像でどのように描写されるかについての知識は、さまざまな病状を診断する上で非常に重要です。
正常な解剖学的構造はさまざまな外観や形状をとることがあるため、正常な解剖学的構造を誤って病理と判断しないように、これらの変化をよく理解しておくことが重要です。2次元検出器によるX線回折測定で発生する問題は、X線の投影によりさまざまな解剖学的構造が重なり合い、病的な変化を偽って見せてしまう可能性があることです。これは、私たちの診断作業に課題をもたらしています。
最も一般的なデンタルX線撮影には、歯とその周囲の歯槽骨に加えて、近くにある解剖学的構造がいくつか写っています。これらすべての構造の位置と形態に関する知識があれば、X線検査中にそれらがどのように画像化されるかを理解することもできます。これにより、X線画像の情報を誤って解釈することを避けやすくなります。
ジオメトリを投影
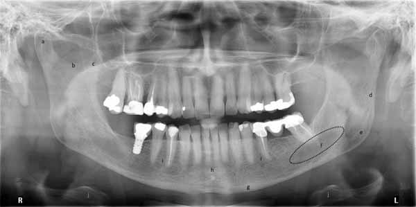
歯科で行われる最も一般的な2つのX線検査は、口腔内X線検査とパノラマX線検査です。口腔内X線撮影の場合、撮影の可否を判断するために歯科医または歯科衛生士の免許が必要です。パノラマX線はより高度な画像撮影技術であり、歯科認定に加えて、歯科医がこれらの画像を撮影および確認する許可を得るには特別なトレーニングが必要です。どちらの画像化方式も2次元であるため、放射線の方向に沿って配置された異なる構造が画像内の同じポイントで重なり合います (図1を参照)。これらの画像をより簡単に理解し、解釈するために、歯科医は頭部と顎の解剖学だけでなく、投影理論についても知識を持っている必要があります。
口腔内のX線撮影では、撮影対象物に対する画像受信装置の位置や投影方向を調整することができます。パノラマX線撮影では、パノラマ装置の焦点面に対する撮影対象物の位置を調整することができます。これらの要素が画像に与える影響を理解することで、画像の解釈が容易になるだけでなく、まだ完全に最適化されていない検査の改善にもつながります。

当社のX線装置によって生成されるX線放射は一方向性ではなく、つまり、光線は平行ではなく、異なる方向に発散します。歪みをできるだけ少なくした鮮明なX線画像を得るには、できるだけ平行なX線ビームで構成される照射野が望ましいです。これを実現するために、X線装置には、過度に発散した方向のX線放射を遮蔽する照準装置が装備されており、患者に到達する放射線がほぼ均一に向けられることになります。歯科用口内法X線撮影装置には、少なくとも20cmの長さの網線が付いています。
しかし、X線は完全に平行ではなく、常にわずかな散乱が生じます。これにより、画像にわずかな歪みが生じます。放射線の発散により、撮影対象はある程度拡大されます。同じ大きさの 2 つの物体が放射線の方向にある場合、放射線の焦点に近い物体は、焦点から遠い物体よりも大きく見えます(図1を参照)。

口腔内の撮影では、放射線源と画像受信機の両方が、撮影対象である歯や歯槽骨に非常に近い位置にあります。そのため、口腔内画像では拡大率の差はそれほど大きくありません。
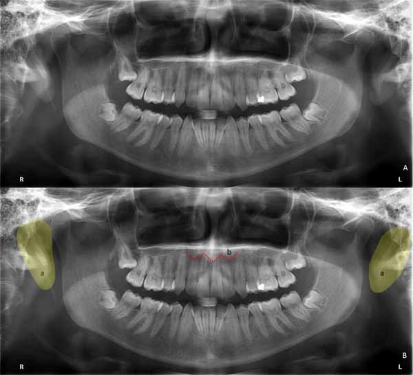
しかし、放射線源が患者から少し離れた位置で回転するパノラマX線撮影では、この拡大率の違いが見られます。舌がその例です。顎の画像撮影では、舌は放射線源の近くにあるため、広い範囲にわたって撮影されます(図29を参照)。
デンタルX線撮影検査
デンタルX線写真(根尖、歯周組織、咬合面)を撮影する場合、診断上重要な領域、すなわち歯と歯槽堤を撮影することが目的です。ただし、顎内の近くの解剖学的構造も同時に画像化します。解剖学を知ることは、正常な解剖学と病理学を区別するのに役立つだけでなく、顎のどの領域が撮影されているかを素早く特定することが容易になります。
口腔内画像の撮影では、平行法を採用するよう努めています。ただし、それが不可能な場合は、平行法で修正を行う技術を採用します。これは、歪みをできるだけ少なくした等尺性のX線画像を取得するためです。
平行法を使用せず、より軸上または軸下投影から画像を撮影すると、X線画像に大きな歪みが生じます。さらに、近くの解剖学的構造をX線画像に投影します。これは特に上軸投影で顕著です。
デンタルX線写真で認識できるように学ぶべき解剖学的構造がいくつかあります。これらのほとんどは硬組織構造であり、X線を使用して最もよく画像化されるものです。これらの硬組織構造の密度が高く、寸法が大きいほど、X線画像でエックス線不透過性が高くなります。
ただし、特定のより強い軟部組織構造も区別することができ、これらは拡散したエックス線不透過性の影として画像化されます。
歯とその支持組織
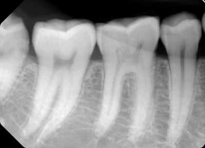
等角投影および平行投影から撮影された適切に配置された口腔内画像では、歯のさまざまな組織とその支持組織を区別できるはずです。歯の周囲では、歯槽突起内の海綿骨と緻密骨の両方を区別できるはずです(画像2を参照)。


X線画像では、被写体コントラスト(X線コントラスト)の違いによって、歯を構成する3つの異なる組織を区別できます。歯冠の外側を覆うエナメル質はミネラル含有量が最も高く、そのためX線写真では最もエックス線不透過性が高いように見えます。象牙質はエナメル質よりもミネラル含有量が少ないため、エックス線不透過性が低くなります。軟組織からなる歯髄は、エックス線透過性の外観を呈します (画像3を参照)。
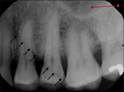
歯の根の周囲には、繊維性結合組織からなる歯周靭帯があります。これは、根の表面に最も近い薄いエックス線透過性の隙間として描画されます。歯周靭帯に最も近い歯槽骨は、歯槽硬線と呼ばれる薄く緻密な骨組織で構成されています。この緻密骨は、歯の根面に沿って歯槽突起の緻密骨と融合する薄いエックス線不透過領域として描かれます (画像3を参照)。
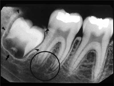
歯の発育がまだ完了していない子供や青少年では、歯列の発育段階に応じて歯の外観が変化すると考えられます。歯根の発達が不完全な歯は根尖性歯周炎に似ている可能性があるため、レントゲン写真で根尖周囲の変化を確認する際には、この点に留意することが重要です (画像4を参照)。

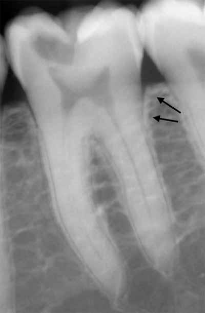
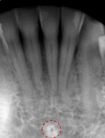
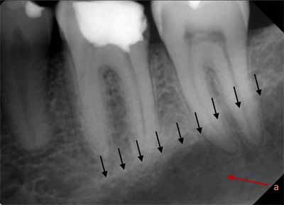
歯槽骨に、薄くわずかに湾曲したエックス線透過性の線が見えることがあります。これらは栄養管であり、神経と血管のための骨内の小さな空洞です (画像5を参照)。多くの場合、上顎洞の壁でもこれらの栄養経路を識別できます。

上顎の解剖学的構造
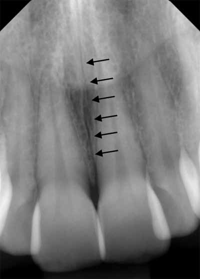
上顎の中心には、デンタルX線写真で撮影され、知っておく必要のある構造がいくつかあります。上顎の正中線の真ん中には、細いエックス線透過性の線、Sutura medianaがあり、これは中切歯の間の歯槽突起の高さ全体にわたって走っています (画像6を参照)。上顎切歯の上には鼻と鼻腔があります。口腔内の画像では、鼻腔の下縁、鼻中隔の一部、鼻の軟部組織、および前鼻棘を見ることができます (画像7を参照)。軸に沿って投影がどの程度調整されているかによって、鼻の構造がX線画像にどの程度鮮明に映し出されるかが決まります。


切歯孔は、切歯の先端の高さで口蓋骨板の中央に位置します。この構造は、中切歯の根または歯根尖の間のエックス線透過性の領域として描写されます。その形状は、完全に円形のものから、より細長い楕円形までさまざまです (画像8aおよび8bを参照)。場合によっては、前鼻棘が切歯孔と重なり、ハート型の外観になることがあります。


上顎犬歯の画像では、歯根より上の鼻腔の下限を見ることができます。上顎洞の前部も確認できますが、これは個人によって異なるため、患者の上顎洞の範囲によって異なります。撮影中の投影により、鼻腔と上顎洞が犬歯の上側のX線画像で部分的に重なることがあります。この領域の画像で時々識別できる構造は、頬の軟部組織の拡散した輪郭です (画像9を参照)。

上顎の後方方向に進んでいくと、小臼歯領域に到達します。ここでも上顎洞の前部と下部が見られます。上顎洞の範囲は大きく異なる場合があります。小臼歯領域では、頬のぼんやりとした輪郭も識別できます (画像10を参照)。

上顎のさらに奥には、臼歯があります。この領域には、X線画像に投影されるさまざまな解剖学的構造がいくつかあります。上顎洞の下部(画像10および画像14を参照)がさらに詳しくわかり、多くの場合、外後頭隆起も確認できます。この構造はエックス線不透過性が高く、「U」または「V」の文字のような形をしています。外後頭突起は主に上軸投影時に画像化され、大臼歯の歯根尖と重なる可能性があり、病変が隠れる危険性があります(画像13を参照)。
頬骨突起の遠位側には頬骨弓の下縁があり、わずかにエックス線不透過性の弓として描かれています (画像13を参照)。
上顎の最も後方には、歯槽突起の最も遠位部分である結節があります。この丸い骨構造は、第三大臼歯の遠位部に位置しています(画像11および画像12を参照)。





上顎の後縁に関連して、蝶形骨から突出する翼状突起が走っています。この構造には翼突鈎と呼ばれる小さな突起があり、上顎大臼歯の口腔内レントゲン写真で確認できる場合があります(画像15を参照)。
下顎の翼状突起は、特に遠心偏心投影において、上顎大臼歯の根尖周囲画像でも視覚化できます (画像16を参照)。

下顎の解剖学的構造

下顎の舌側表面の中央には骨の突起であるオトガイ棘があり、この骨の突起は口底の筋肉の付着部として機能します。オトガイ棘は、下顎の中切歯の下にある丸いまたはリング状のエックス線不透過構造として、X線写真上に描かれます。オトガイ棘と同じ領域の中央には舌孔があり、1つまたは複数の小さな丸いエックス線透過性の点として描かれています (画像17aおよび17bを参照)。


下顎の外側部に向かって後方に移動すると、犬歯、小臼歯、大臼歯が見えます。小臼歯と大臼歯の下には下顎管があり、薄いエックス線不透過性の境界に囲まれた幅広いエックス線透過性の線として現れます。下顎管は下顎の頬側表面にあるオトガイ孔に開口しています。口腔内画像では、オトガイ孔は小臼歯の根尖のすぐ下またはその高さにある丸いエックス線透過性の構造として確認できます(画像 18 および 19 を参照) 。下顎管は下顎枝にあるオトガイ孔から下顎孔まで下顎の外側部分全体に沿って走っています。多くの場合、臼歯の根尖のすぐ下か、同じ高さに位置します。等角投影と軸測投影の両方で、臼歯の頂点に重なって描かれることもあります(画像20と21を参照)。
オトガイ孔の画像では、下顎骨の基底部が見えることも珍しくありません。これは下顎の下縁を形成する、強いエックス線不透過性の線として現れます (画像20と21を比較)。



下顎の水平部分から垂直部分(枝)への移行部には、歯列弓の周囲の頬側に強固な骨の縁があります(画像22を参照)。この骨の縁は斜線と呼ばれ、X線では下顎第三大臼歯の歯冠上を走り、第二大臼歯の上を前方に続く透明なエックス線不透過性の線として確認できます(画像23を参照)。


下顎の臼歯部の舌側には、別の骨の隆起である顎舌骨筋線があります。これは口底筋の付着部も形成し、大部分が大臼歯の根の上にエックス線不透過性の水平線として現れます(画像24を参照)。顎舌骨筋線の太さは個人によって異なるため、X線画像では明瞭に見えたり見えなかったりする場合があります。顎舌骨筋線のすぐ下には、境界が不明瞭なエックス線透過性の領域があります。これは下顎の舌側表面にあるくぼみ、顎下窩です(画像24参照)。

パノラマX線
パノラマX線写真は、歯、顎、および周囲の構造を包括的な画像で描写します。これは、顎の主要な病理学的変化だけでなく、枝などデンタルX線で画像化できる領域外にある変化も画像化できるため、口腔内診断に貴重な補助となります。
パノラマX線撮影の大きな利点は、比較的低い放射線量で患者の歯全体の状態を撮影できることです。さまざまな情報源によると、パノラマX線写真1枚は、デンタルX線写真4~20枚分の放射線量に相当すると言われています。
パノラマX線の欠点は、解像度が低く、画像キャプチャプロセス自体によって、解剖学的構造の重なりや画像内の歪みが多く発生することです。つまり、パノラマ画像を解釈する際には注意を払い、頭部と首の解剖学的構造に関するより高い知識を要求しなければなりません。
パノラマX線写真を確認する際に最初に考慮すべきことのひとつは、画像が撮影された視点です。撮影中、放射線源と画像受容器は患者の周囲を回転するため、画像のさまざまな部分が異なる投影から生じます。パノラマ画像を見る最も簡単な方法は、前部を前後方向の投影として見ながら、右側と左側を横方向の投影として見ることです(画像25を参照)。

パノラマ画像には、軟部組織と硬部組織の両方を含む多数の解剖学的構造が描かれます。頭と首の気道の輪郭も確認します。
パノラマX線は首、中顔面、顎の両方の概要画像であるため、口腔内全長画像よりも多くの硬組織構造が含まれます。これらすべての構造を識別する際には、さまざまな構造を区別し、これらをあらゆる可能性のある病理と区別できるようにするために、正常な人体の解剖学に関する知識を持っていることが非常に役立ちます。頭蓋骨内のさまざまな構造の位置は、ほとんどの場合、パノラマ画像内の位置に反映されます。翼状突起は上顎の後ろ、顎関節は側頭骨の下方、眼窩は上顎洞の上方に見える、などと予想されます。なぜなら、それがこれらの構造の自然な解剖学的位置だからです。これらの構造がパノラマ画像で確認できることも事実です(画像25および26を参照)。
パノラマ画像にはさまざまな解剖学的構造が多数含まれているため、すべてを識別するのは困難に思えるかもしれません。簡潔にするために、このファクトシートでは、構造をさまざまなカテゴリに分けて個別に検討することにしました。これは情報を構造化するためだけのものであり、構造化されたレビューの方法を反映するものではありません。
パノラマX線画像における硬組織構造
まず、硬組織構造を調べます。わかりやすくするために、これらすべての構造を複数の画像で示すことにします。
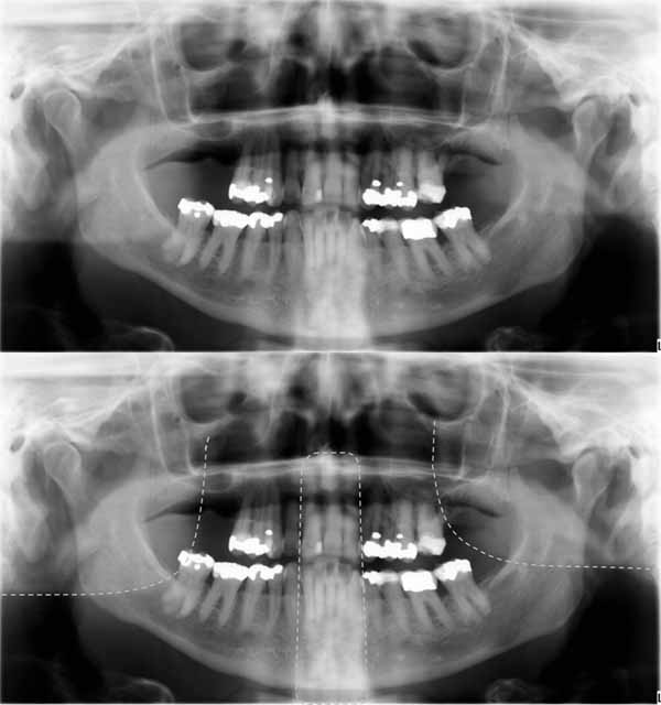
顎と頭蓋骨の中にはいくつかの空洞があり、パノラマ画像で確認することができます。口腔内画像で解剖学的構造を検討した際に、これらのいくつかについてすでに言及しました。これらには、鼻腔、上顎洞、切歯孔、下顎管が含まれます。
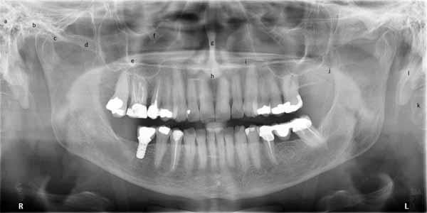
パノラマX線ではより広い範囲を観察できるため、歯槽頂の外側にある他の空洞も確認できます。これらには、眼窩、外耳道、翼口蓋窩、中頭蓋窩が含まれます。(画像26参照)

(a)上顎洞(下方および後方境界)
(b)鼻腔
(c)翼口蓋窩
(d)中頭蓋窩
(e)下顎管
(f)切歯孔
(g)外耳道
(h)眼窩
パノラマ画像の両側の端には、頸椎の輪郭が見えます。頭蓋底の一部と、乳様突起と茎状突起という 2 つの骨の突起も見ることができます。パノラマ画像では、舌骨が二重に撮影され、下顎の基部のすぐ下で両側から確認できます。さらに、顎関節、上顎と下顎の全体、中顔面の一部を構成する構造を見ることができます。(画像27aと27bを参照)

(a)乳様突起
(b)顎関節
(c)関節結節
(d)頬骨
(e)歯槽骨
(f)眼窩下管
(g)鼻中隔
(h)前鼻棘
(i)硬口蓋
(j)管
(k)頸椎
(l)茎状突起

(a)顆頭
(b)切歯
(c)冠状突起
(d)後枝制限
(e)下顎角
(f)顎下窩
(g)基底骨
(h)背骨
(i)オトガイ孔
(j)舌骨
パノラマX線画像における軟部組織構造と気道
軟部組織は、パノラマ画像では拡散したエックス線不透過性の影として描写されます。
デンタルX線写真と同様に、上顎切歯より上方に描かれた鼻の軟組織部分の輪郭を見ることができます。また、外耳は頸椎と頸椎枝の間に丸みを帯びた、わずかにエックス線不透過性の構造体として描かれていることもわかります(画像28を参照)。

(a)外耳の輪郭
(b)鼻の軟部組織
舌は、上顎と下顎の両方に広がる、大きなドーム型のエックス線不透過性構造として描かれています。舌の根元では、喉頭蓋が両側から画像化されているのがわかります(画像29を参照)。パノラマ画像で区別できる他の軟部組織構造としては、軟口蓋と鼻甲介があります(画像29を参照)。
上気道は、パノラマ画像ではよりエックス線透過性の高い領域として描写されます。これらは気管、口腔、鼻腔から構成されます(画像29を参照)。経験の浅い検査官は気道を病理学的変化や骨折と誤解することがあるため、X線画像で気道を認識して区別できることが重要です。

(a)舌
(b)軟口蓋
(c)下鼻甲介
(d)中鼻甲介
(e)喉頭蓋
(f)頭頸部気道
ゴースト
ゴーストはパノラマ画像を撮影するときに発生する歪みの1つであり、画像を確認するときに考慮する必要があります。簡単に説明すると、ゴースト画像とは、画像が撮影されたときに、画像化された顎の反対側にあった構造の画像です。これらの構造は、画像の反対側にぼやけて拡大されて表示されます。
ゴーストの最も明確な例の1つは、下顎底です。たとえば、下顎の右側を撮影する場合、X線放射は下顎の左側も通過する必要があります。この場合、下顎の左側は焦点レイヤーの外側にあるため、この構造の不明瞭なゴースト画像が右側の画像に重なって表示されます。もう1つの例は頸椎です。頸椎の場合、前歯が描かれると顔の前部と顎の上にゴースト画像が作成されます(画像30を参照)。これらのゴースト画像により、パノラマX線画像での診断が困難になります。

参考文献
White と Pharoah の口腔放射線学 – 原則と解釈。 Mallya S、Lam E. 第8版、Elsevier、2019年。
Lund H、歯科放射線学。ゴシア継続教育、2019
Perschbacher S. パノラマレントゲン写真の解釈。 Aust Dent J. 2012年3月;57補足1:40-5.出典:10.1111/j.1834-7819.2011.01655.x. PMID: 22376096。
スウェーデン放射線安全局の規則、SSMFS2018:2。翻訳:
Ebba Helmrot、Anne Thilander-Klang、「歯科放射線学における患者の線量を監視する方法」、放射線防護線量測定、第 139 巻、第 1-3 号、2010 年 4 月 – 5 月、303 ~ 305 ページ、 https://doi.org/10.1093/rpd /ncq095
HK Looe、F. Eenboom、N. Chofor、A. Pfaffenberger、M. Steinhoff、A. Rühmann、A. Poplawski、K. Willborn、B. Poppe、口腔内およびパノラマ歯科放射線学における実効線量の推定のための変換係数線量面積積値、放射線防護線量測定、第 131 巻、第 3 号、2008 年 9 月、365 ~ 373 ページ、 https://doi.org/10.1093/rpd/ncn172
Granlund C、Thilander-Klang A、Ylhan B、Lofthag-Hansen S、Ekestubbe A。実効線量推定のための ICRP 103 推奨事項を適用したデジタル口腔内およびパノラマ放射線撮影による臓器吸収線量と実効線量。 Br Jラジオル。 2016;89(1066):20151052.土井:10.1259/bjr.20151052
王強、傅強、林林、「歯科用 X 線装置の実効線量の推定」、放射線防護線量測定、第 183 巻、第 4 号、2019 年 6 月、418 ~ 422 ページ、 https://doi.org/10.1093/rpd/
ファクトシートに掲載されているすべてのX線画像は、患者の許可を得て、マルメ大学歯学部第4セクションから撮影されたものです。
すべての画像、図、マークは Maria Ekstam によって作成されました。
非常に貴重な助言をいただいた歯科放射線科の Kristina Hellén-Halme 氏に深く感謝いたします。
本記事は、興学会と日本スウェーデン歯科学会の活動の一環として歯科先進国と言われているスウェーデンの先進歯科医療に関する論文等を翻訳しご紹介するものです。記事内に掲載の各機関は指定のない限り、スウェーデン国内の機関を示します。また、記事の内容には、一部誤訳等を含む場合があるほか、研究・臨床段階の内容も含まれており、実際に治療提供されているとは限りませんので予めご了承ください。

















































