「Icon® アイコン 」とは?
歯を削らずに初期齲蝕や白斑を治療する革新的な方法!
初期齲蝕の治療に対する全く新しい画期的なアプローチ - カリエス・インフィルトラント- がIconです。Iconは、ドリルや麻酔を使わずに、痛みもほとんどなくエナメル質を再石灰化できる技術です。
従来、歯科医師が虫歯治療する際には2つの選択肢しかありませんでした。フッ化物を使って初期段階でエナメル質を再石灰化させるか、「削って詰める」時期になるまで「静観する」かのどちらかです。
従来の治療法の欠点
- フッ化物による治療 - 齲蝕が悪化した段階で行うと、効果が出ないことがある。
- 詰め物 - 健康な歯構造の大部分を削らなくてはいけない。
初期齲蝕の最初の兆候、なぜ「静観する」アプローチが問題につながるのか?
齲蝕の兆候
- 無傷に見える表層下で、ミネラルが失われる。
- 再石灰化によって、病変の30%以上の細孔容積が影響を受ける。
- これらの細孔を通じて有機酸が拡散し、エナメル質からミネラルが溶け出す。
![]()
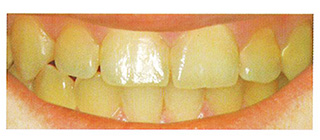
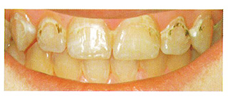
1回の診療で白斑を美しく除去!!
Iconが浸透した白斑は、周囲の健康なエナメル質と見た目が変わらなくなります。マイクロアブレーションや修復治療に取って代わる、審美的にも非常に優れた方法です。削らずに1回の診療で全て完了できます!ICON使用前
![]()
ICON使用後 + レジン
![]()
< Icon®(アイコン)の治療について必ずお読みください >
Iconは「虫歯による第一段階のC1の初期虫歯のみの治療」で使用できる薬剤です。初期段階の虫歯でも白くなりにくい場合があり、審美目的でのIcon治療は効果が無いためお勧めしておりません。
また、虫歯以外の原因による白斑(エナメル質形成不全症など)にはIconの効果は期待できません。Iconでの治療はご希望の方全てに適していない場合があります。その際は、担当医が最適と思われる他の治療法をご提案いたしますので、予めご理解ご了承くださいますようお願いいたします。
【施術リスク】
初期の虫歯のみの対応
施術料金:25,300円(税込)/1歯
※保険対象外治療となります。
