malocclusion-child_fig1 | 新橋歯科医科診療所[痛くない削らない歯医者]

malocclusion-child_fig1

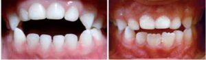
3歳から7歳までの咬合異常の変化_図1

お知らせ一覧へ

トップへ戻る

お急ぎの方、直接相談
したい方はお気軽に
お電話ください

000-000-0000

受付時間:10:00~17:00

資料請求をご希望の方はこちら

お問い合わせフォームはこちら

閉じる