dental-x-ray-anatomical-structure_fig11 | 新橋歯科医科診療所[痛くない削らない歯医者]

dental-x-ray-anatomical-structure_fig11

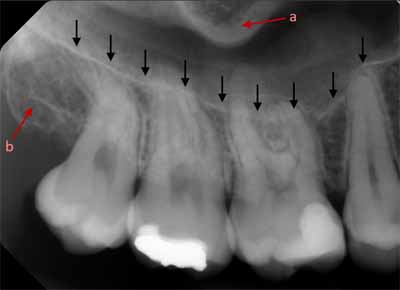
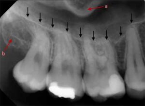
歯科X線写真における正常な解剖学_図11

お知らせ一覧へ

トップへ戻る

お急ぎの方、直接相談
したい方はお気軽に
お電話ください

000-000-0000

受付時間:10:00~17:00

資料請求をご希望の方はこちら

お問い合わせフォームはこちら

閉じる